
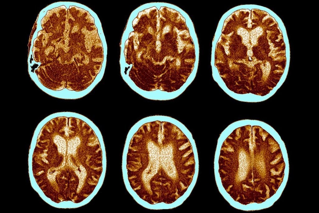
The brain shrinkage seen in Alzheimer’s can be prevented with semaglutide, the drug in Ozempic.
ZEPHYR/Science Photo Library/Alamy
Ozempic and Wegovy are already transforming the way we treat type 2 diabetes and obesity, and starting next year another condition affecting millions of people around the world can be added to the list: Alzheimer’s disease.
Two clinical trials investigating semaglutide, a drug from Ozempic and Wegovy, as a treatment for early-onset Alzheimer’s are expected to end in 2025. If the results are positive, it may represent a step forward in treating this intractable condition.
